| 時間 | 月 | 火 | 水 | 木 | 金 | 土 | 日 |
| 10:00〜 13:00 |
○ | ○ | △ | ○ | ○ | ○ | × |
| 15:00〜 20:00 |
○ | ○ | △ | ○ | ○ | ○ | × |






ムーシールドなどによる早期初期治療を!

子供の成長を見定めながら、拡大床やマウスピースなどの取り外しのできる装置や、一部固定式の簡単な装置を使用し、永久歯列期矯正に備えます。これだけで治ってしまうことも!

歯がすべてある
歯に直接装置を取り付けます。マルチブラケット法とも呼び、お口の状況に応じて様々な方法があります。
早く治療を終りたい
歯に取り付ける装置をブラケットといい、何十種類もブランドがあります。歯を動かすのをスムーズにさせる装置を使用することで期間を短くできます。部分的に行うプチ矯正(部分矯正)やインプラントを利用する方法も!
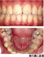
見える装置はいやだ
歯の裏に装置をつける方法や、表につけますが、セラミックなどの透明な装置をつけることで精神的にも快適な治療を受けることができます。

歯をすでに失っている
歯周病を有する患者さまの矯正治療には注意が必要です。歯周病を治療、予防しながら、矯正により歯並びを良くし、かみ合わせの治療など多くの要素を含んだ包活的な治療を行わなければなりません。
ムーシールドは3歳児歯科健診などで、受け口を指摘された低年齢児の早期初期治療に使用します、受け口は、放っておくと将来的に通常の矯正治療では治りにくくなったり、手術などが必要になることがあります。
将来的に歯並びを良くするためには、この時期の子供の成長を正確に予測して、必要に応じた矯正装置を使用します。歯並びよりむしろ顎の発達に着目した治療がメインになります、成人して矯正を始めるより効率的で永久歯列期矯正にかかる時間を短くします。
すでに永久歯のみとなっていますから、直接装置を歯に取り付けて治療を行います。一般的に幼少期に発育期矯正を行っている方は、非常にスムーズに治療が終わる場合が多いです。レントゲンやCTスキャンで精密に診断し、最適な方法を探していきます。
歯を動かす妨げとなる装置の抵抗力を小さくしたブラケットを装着することで期間を短くできます。顎に小さなネジをつけてそれを利用するインプラント矯正は、効率的に歯を動かせます。また、かみ合わせにもよりますが見える所だけ綺麗に仕上げるプチ矯正(部分矯正)であれば、期間を短縮し、費用を抑えられます。
歯の裏に装置をつけるリンガル矯正は表から全く装置が見えません。また、表に装置をつける矯正においても、透明なブラケットをつけることにより、周りの人にはほとんど気づかれない場合もあります。加えて、透明なマウスピースを使用しながら矯正を行う方法もあります。