府中町歯科・歯医者AICデンタルクリニック・VILLA(ヴィラ)[広島エステティックインプラントセンター]

広島矯正歯科AICデンタルクリニック・ヴィラ[広島エステティックインプラントセンター]相談は無料ですのでぜひ一度お問い合わせください。

広島府中町歯医者・矯正歯科AICデンタルクリニック・ヴィラ[広島エステティックインプラントセンター]
広島府中町歯医者・矯正歯科AICデンタルクリニック・ヴィラ|矯正歯科|ホワイトニング|虫歯予防|
広島県安芸郡府中町本町2-9-27
お口(歯)のことでお困りの方はお気軽に無料相談をお受け下さい。

インプラント|広島府中町歯医者・矯正歯科AICデンタルクリニック・ヴィラ

歯周病|広島府中町歯医者・矯正歯科AICデンタルクリニック・ヴィラ

審美・美容歯科|広島府中町歯医者・矯正歯科AICデンタルクリニック・ヴィラ

矯正治療|広島府中町歯医者・矯正歯科AICデンタルクリニック・ヴィラ

再生治療|広島府中町歯医者・矯正歯科AICデンタルクリニック・ヴィラ

虫歯の予防・治療|広島府中町歯医者・矯正歯科AICデンタルクリニック・ヴィラ

歯科人間ドック|広島府中町歯医者・矯正歯科AICデンタルクリニック・ヴィラ

AICデンタルクリニック・ヴィラ > 基本治療方針 > 矯正治療
基本治療方針

矯正治療

矯正治療
相談はすべて無料
矯正治療を受けるためにはまず相談から始めるべきです。そこで多くの質問をいただく中で、最良の方法を患者様とともに探すことが重要であると考えます。当クリニックでは、相談は無料とさせていただいております。
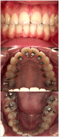
歯の裏から矯正治療
通常歯の表に装置をとり付ける矯正治療。仕事などの都合上装置が見えたら困る方には、歯の裏からの矯正をご提供しております。モデル、TV関係者、タレント希望の方のほとんどが、歯の裏からの矯正を希望されます。
インプラント矯正
小さなネジ(インプラント)をあごの骨に一時的に設置し、それを利用して矯正治療を行います。従来の方法と違い、矯正治療期間が短縮されます。
セラミック矯正
矯正装置を歯の表につける場合、目立たない「セラミック」でできた矯正装置があります。これらを使用することによって、より審美的に治療を終了することができます。
ページトップへ